티스토리 뷰
목차

목차
서론
의학의 발전이 절정에 달한 오늘날의 세계에서는 한때 인류에 큰 피해를 주었던 질병을 잊기 쉽습니다. 결핵(TB)은 세계 여러 지역에서 상당히 통제되었음에도 불구하고 특히 개발도상국에서 여전히 위협이 되는 질병 중 하나입니다. 이 블로그 게시물은 결핵, 그 원인, 증상 및 사용 가능한 치료법을 조명하는 것을 목표로 합니다. 그렇다면, 결핵의 세계를 자세히 살펴보고 경계를 늦추지 않는 것이 왜 중요한지 이해해 봅시다.
1. 침묵의 침입자: 결핵의 원인
결핵은 결핵균(Mycobacterium tuberculosis)에 의해 발생하는 전염성 세균입니다. 그것은 주로 폐에 영향을 미치지만 또한 뇌와 신장과 같은 몸의 다른 부분을 표적으로 삼을 수도 있습니다. 이 박테리아는 감염된 사람이 기침을 하고, 재채기를 하거나 심지어 말할 때 공기를 통해 전달됩니다. 이 오염된 비말을 흡입하는 사람들은 결핵에 걸릴 위험이 있습니다. 흡입되면 박테리아는 폐로 이동하고, 여기서 면역 반응이 유발됩니다. 대식세포는 침입자를 집어삼키려고 시도하지만 실패할 수 있으며, 박테리아가 이 세포 내에서 복제될 수 있도록 합니다. 면역 체계는 감염된 지역을 차단하여 육아종을 형성합니다. 이러한 육아종은 종종 나중에 다시 활성화될 수 있는 잠재 박테리아를 포함하여 활동성 결핵을 유발합니다. 또한 HIV(인간면역결핍바이러스) 감염으로 인한 면역 체계와 같이 약화된 면역 체계는 잠재 박테리아를 통제할 수 없어서 더 높은 민감도로 이어집니다. 박테리아는 특히 면역 체계가 약해진 개인에게 활발해지기 전에 수년 동안 몸에서 휴면 상태로 있을 수 있습니다. 이 질병은 붐비고 비위생적인 환경에서 번창합니다.
2. 범인의 복면을 벗기: 증상 인식
결핵은 강도와 상태가 다양할 수 있는 다양한 증상을 보여줍니다. 주로 폐에 영향을 미치지만 신체의 다른 부분을 대상으로 할 수도 있습니다. 초기에는 증상이 미묘할 수 있으며, 종종 다른 호흡기 질환과 비슷해 진단이 어려울 수 있습니다.
a. 지속적인 기침: 3주 이상 지속되는 기침은 흔한 초기 증상입니다. 마른기침으로 시작하여 나중에 가래나 혈액을 생산할 수 있습니다.
b. 가슴 통증: 질병이 진행됨에 따라 가슴 불편함이나 통증이 발생할 수 있습니다. 이 통증은 날카로울 수 있으며 기침을 하거나 깊게 숨을 쉴 때 자주 느껴집니다.
c. 피로: 설명할 수 없는 피로나 쇠약은 또 다른 빈번한 증상입니다. 이것은 감염과 싸우려는 몸의 노력 때문일 수 있습니다.
d. 체중 감소: 설명할 수 없는 상당한 체중 감소가 발생할 수 있습니다. 이는 종종 식욕 감소를 동반합니다.
e. 열: 특히 저녁에 미열은 일반적인 징후입니다. 이 열은 야간 땀을 동반할 수 있습니다.
f. 야간 땀: 밤에 땀을 많이 흘려서 옷과 침구가 흠뻑 젖는 것은 전형적인 증상입니다.
g. 식욕 감퇴: 줄어든 식습관은 체중 감소와 전반적인 허약함에 기여할 수 있습니다.
h. 호흡 곤란: 결핵이 진행됨에 따라 폐 기능이 저하되어 호흡 곤란이 발생할 수 있습니다.
i. 기침 혈액: 폐 조직의 손상으로 인해 객혈, 또는 피가 섞인 객담이 발생할 수 있습니다.
j. 전반적인 권태감: 결핵을 앓고 있는 사람들은 종종 오한과 미열을 동반하는 전반적인 몸이 좋지 않은 느낌을 보고합니다.
k. 림프절 부종: 일부 경우에, 결핵은 특히 목의 림프절의 비대를 초래할 수 있습니다.
l. 관절 통증: 결핵은 때때로 뼈와 관절로 퍼져서 통증과 염증을 일으킬 수 있습니다.
m. 두통: 중추신경계에 영향을 미치는 결핵은 두통과 심지어 혼란과 같은 신경학적 증상으로 이어질 수 있습니다.
특히 초기에는 결핵 증상이 경미할 수 있고 점차 악화될 수 있다는 점에 유의해야 합니다. 또한 이 질병은 잠복되어 있을 수 있으며 아무런 증상을 보이지 않지만 박테리아는 체내에 남아 있습니다. 면역 체계가 손상되면 잠복된 결핵에서 활성 TB가 발생할 수 있습니다.
3. 반격: 사용 가능한 치료법
진단:
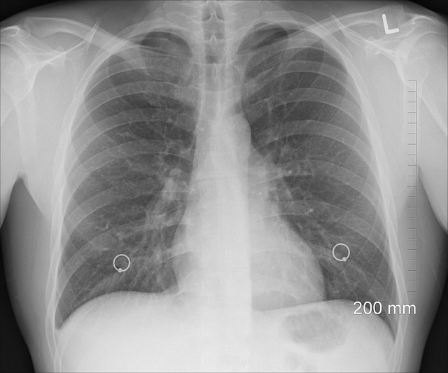
정확한 진단은 효과적인 결핵 치료의 초석입니다. 결핵 진단에는 결핵 피부 검사, 인터페론 감마 방출 검사(IGRA), 흉부 X선 등 다양한 검사가 사용됩니다. 객담 배양 검사와 핵산 증폭 검사는 활성 결핵을 확인하고 약물에 내성이 있는 균주를 확인하는 데 도움이 됩니다.
치료:
결핵 (TB) 치료는 질병을 일으키는 박테리아를 근절하기 위해 항생제의 조합을 포함합니다. 표준 처방에는 일반적으로 6개월에서 9개월 동안 복용하는 이소니아지드, 리팜피신, 피라진아미드 및 에탐부톨의 네 가지 핵심 약물이 포함됩니다. 이 처방은 효과적으로 박테리아 라이프사이클의 다양한 측면을 대상으로 하며 약물 내성을 예방합니다.
약물 내성 TB의 경우 치료가 더 복잡하여 더 긴 기간과 플루오로퀴놀론 및 주입 가능한 약물과 같은 추가 약물이 포함됩니다. 다제내성결핵(MDR-TB) 및 광범위약제내성결핵(XDR-TB)은 18개월에서 24개월에 걸쳐 치료할 수 있는 맞춤형 요법이 필요하며, 종종 심각한 부작용이 있습니다.
베다퀼린과 델라미드와 같은 새로운 약물은 약물내성결핵에 대한 가능성을 보여주었습니다. 이것들은 심각한 부작용과 비용의 가능성으로 인해 다른 옵션이 실패할 때 종종 사용됩니다. 연구는 환자의 순응도와 결과를 개선하기 위해 더 짧고 효과적인 치료법을 계속 개발하고 있습니다.
치료 순응도는 재발 및 추가적인 약물 저항의 출현을 예방하기 위해 중요합니다. 직접 관찰 치료(DOT)는 의료 종사자가 약물 투여를 감독하는 전략입니다. 최근 성공적인 치료에 대한 사회적, 경제적 장벽을 해결하기 위해 환자 중심의 치료를 강화하려는 노력이 중요해졌습니다.
결론 : 결론적으로, 결핵은 과거처럼 자주 헤드라인을 장식하지는 않지만, 근절되려면 멀었습니다. 이 질병의 재발을 막기 위한 열쇠는 인식, 조기 발견 및 적절한 치료에 있습니다. 만약 여러분 또는 여러분이 아는 누군가가 장기간의 기침, 설명할 수 없는 체중 감소 또는 지속적인 피로와 같은 증상을 경험하고 있다면, 치료를 받는 것이 가장 중요합니다. 게다가, 좋은 위생 유지, 적절한 영양 공급 촉진 및 적절한 환기 보장과 같은 관행을 채택하는 것은 결핵 확산을 줄이는데 기여할 수 있습니다.